近日,北京林业大学生物科学与技术学院沈应柏教授团队在International Journal of Biological Macromolecules(一区,TOP期刊,IF=8.2)上发表了题为“Early signaling enhance heat tolerance in Arabidopsis through modulating jasmonic acid synthesis mediated by HSFA2”的研究论文。

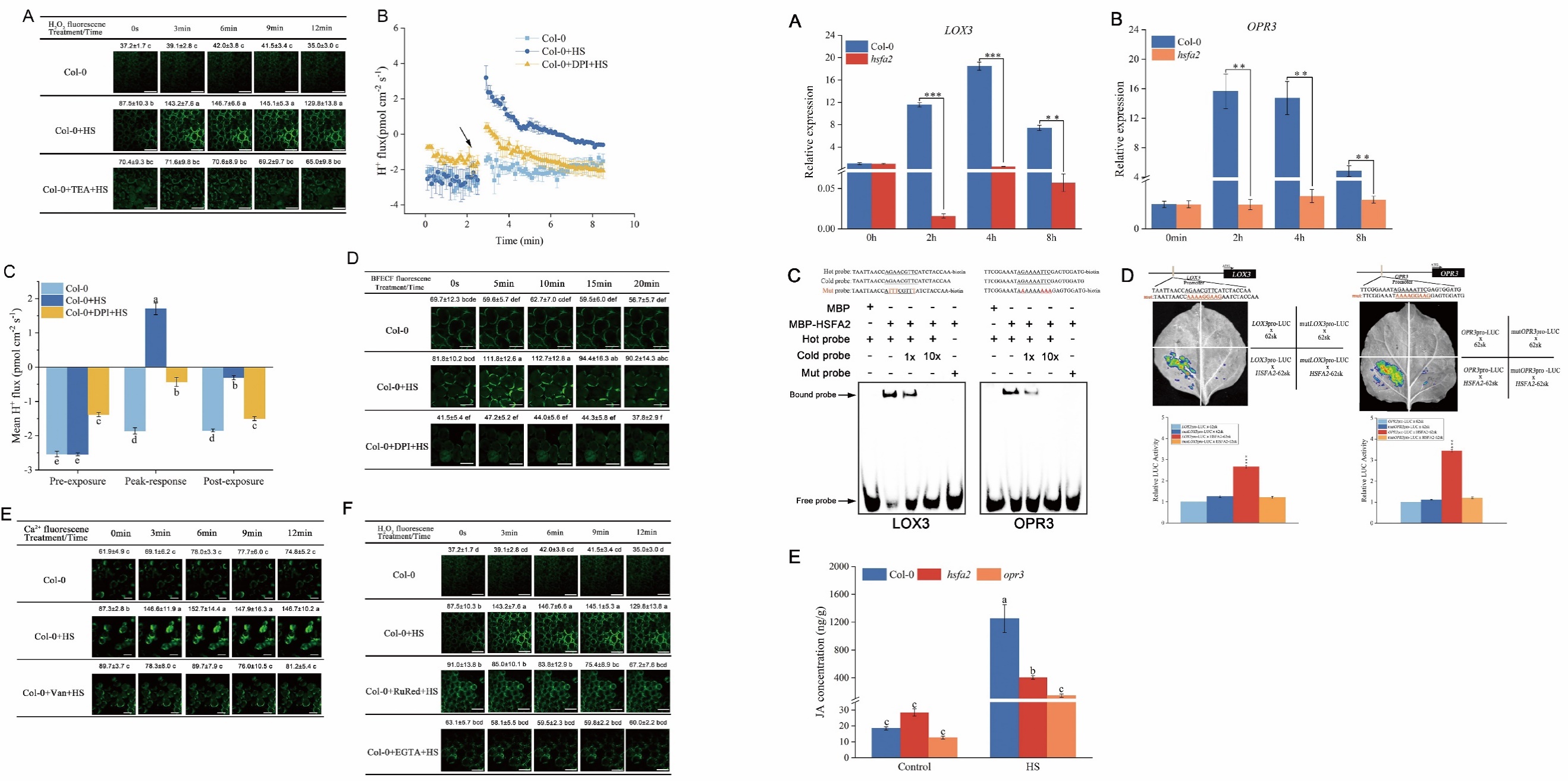
全球变暖会导致极端气候事件的发生,极端温度和热浪频率、范围和强度的增加都会造成粮食产量的巨大损失。研究植物细胞面临高温时如何感知和识别热信号从而激活各种热防御反应的分子机理具有重要的科学意义。该研究揭示了从植物响应热胁迫的早期信号开始到最后茉莉酸(JA)合成提高植物耐热性的完整通路。
植物遭受热胁迫时,首先被质膜外向K+通道感知,将细胞内的K+转运至细胞外,进而激活质膜NADPH氧化酶RBOHD造成ROS的迸发,再激活质膜H+-ATPase通过消耗ATP将细胞质中的H+排出,引起质膜超极化激活内向钙离子通道,为下游Ca2+流入胞质提供质子驱动力,[Ca2+]cyt的增加则由胞外Ca2+进入胞质和胞内Ca2+的动员和再分配共同完成,反过来,Ca2+也会调节ROS爆发,启动下一轮早期信号事件。钙信号作为第二信使,可与CAM1和CAM3结合并可能通过某种方式影响HSFA2基因的表达。HSFA2作为响应热胁迫的关键转录因子,调控JA合成途径关键酶LOX3、OPR3基因表达,促进JA的合成,降低植物的叶片相对电导率,提高相对含水量和叶绿素含量从而增强拟南芥的耐热性。

这些结果构建了植物感知高温环境的早期信号网络,进一步完善了植物耐高温的分子机制,有助于通过分子标记,基因编辑等手段辅助育种开发耐高温作物。
北京林业大学生物科学与技术学院沈应柏教授为该论文的通讯作者,郭洙鹃博士为该论文的第一作者,左沂鑫硕士为共同第一作者。
文章链接:https://doi.org/10.1016/j.ijbiomac.2024.131256
作者:郭洙鹃
审稿:杜庆章

